ビフォーアフター【インビザライン】
2025/08/18
こんにちは。
西調布ハーモニー歯科クリニックです。
お盆は過ぎましたが、まだまだ酷暑が続いていますね!
当院は先週夏休みを頂き、スタッフもリフレッシュしてきました☆
また笑顔で頑張って診療していきます!
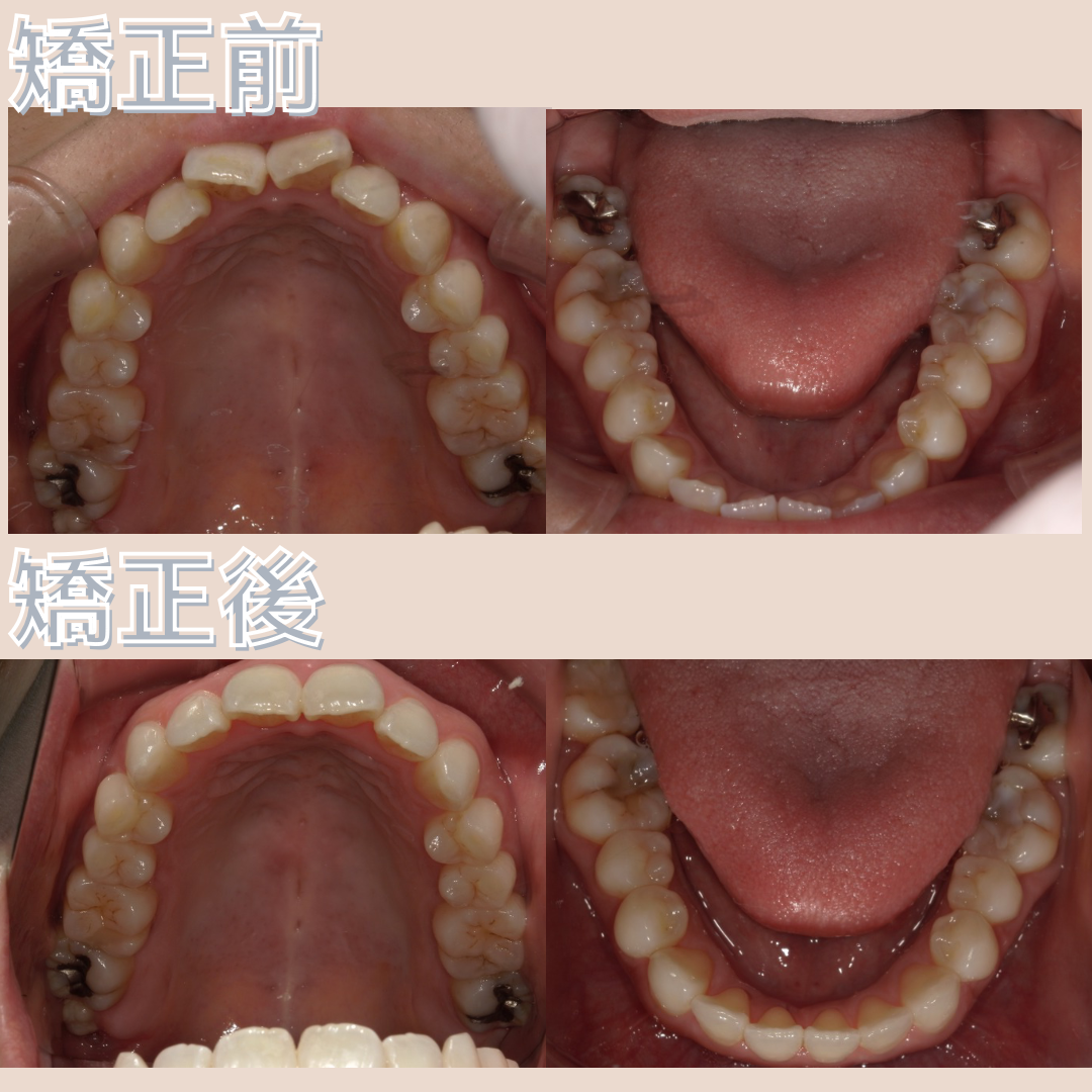
今日はインビザラインの患者さまのビフォーアフターをご紹介します!
●40代女性
歯並びをきれいにしたい!
上下の前歯の並びが特にきれいになっていますね!
この間、ホワイトニングもされているので、色も白くなり艶がでて
よりきれいな歯になられています。
インビザラインのご相談は随時承っておりますので、お気軽にお電話にてご予約ください!
----------------------------------------------------------------------
西調布ハーモニー歯科クリニック
〒182-0035
東京都調布市上石原2-40-1
電話番号 : 042-426-4064
調布市で歯列矯正し心も笑顔に
----------------------------------------------------------------------


