ビフォーアフター【インビザライン】
2025/09/11
こんにちは。
今日はインビザラインのビフォーアフターのご紹介です。
今回も驚きのビフォーアフター!
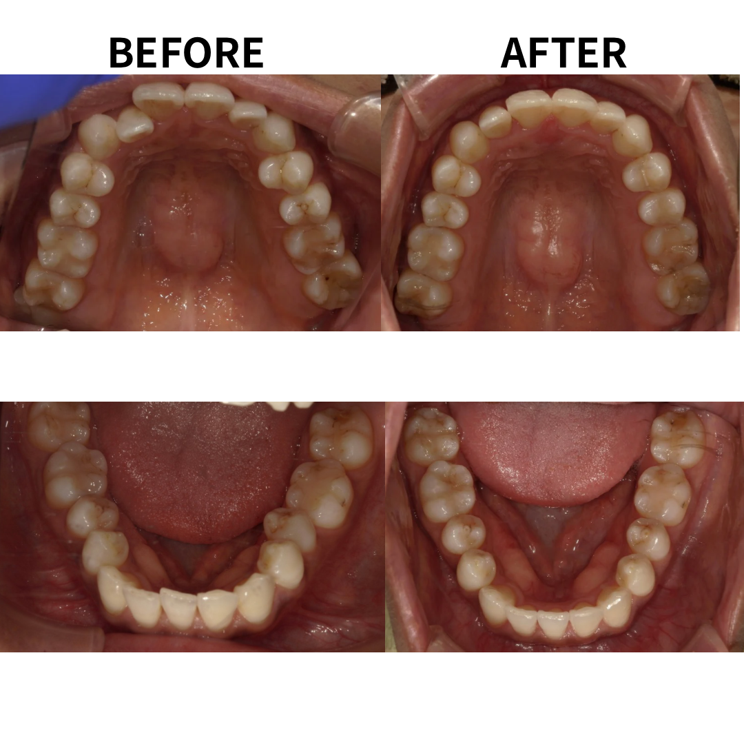
30代女性 歯並びにお悩みで来院されました。
上の前歯のガタつきがきれいになったのがよくわかります!
歯並びがきれいになると、笑顔に自信がもてるようになったそうです。
インビザラインについてのご相談は随時承っておりますので、
お気軽にお電話ください。
----------------------------------------------------------------------
西調布ハーモニー歯科クリニック
〒182-0035
東京都調布市上石原2-40-1
電話番号 : 042-426-4064
調布市でインビザラインに対応
----------------------------------------------------------------------


